Vợ chồng Mr Hunter Lê Khắc Ngọ kéo người thân vào đường dây lừa đảo
Kết luận điều tra xác định, quá trình làm việc, vợ chồng Lê Khắc Ngọ đã “mở đường” cho người thân tham gia hoạt động lừa đảo. Cơ quan cảnh sát điều tra đã thu giữ hàng trăm tỷ đồng, 45 bất động sản và 9 xe ô tô liên quan đến vợ chồng Ngọ - Thêu.
16 giờ trước
Bố đẻ của siêu lừa Mr Pips bị lừa 2,5 tỷ khi tìm cửa ‘chạy’ giám định tâm thần cho con
Bản tin về vụ án của Mr Pips, liên quan đến hành vi lừa đảo và đề xuất giám định tâm thần để bảo vệ quyền lợi pháp lý của ông.
1 ngày trước
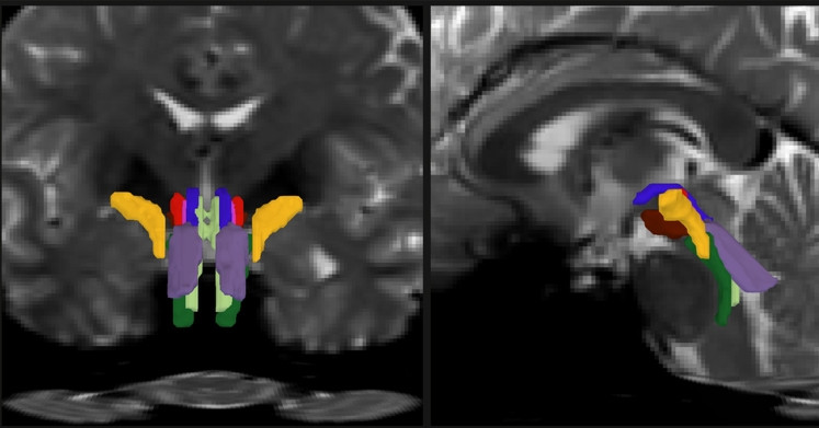
Thuật toán AI có thể ‘mở cửa sổ’ để quan sát những sợi trắng trong thân não
Một công cụ trí tuệ nhân tạo mới do các nhà khoa học tại MIT và Bệnh viện Đa khoa Massachusetts phát triển đang mở ra khả năng quan sát những bó sợi trắng trong thân não.
2 tuần trước
Nam thần phim ngắn lên xu hướng dạo này - Trương Sí: Hết phản diện hóa "xính lao"
Khám phá hành trình và các vai diễn ấn tượng của Trương Sí, nam diễn viên trẻ gây sốt với phim ngắn và biểu cảm đa dạng trên mạng xã hội.
2 tuần trước
Lỗ nặng chỉ sau một ngày mua vàng vía Thần Tài
Ngày vía Thần tài: Giá vàng trong nước sáng 27/2 không đổi so với giá cuối ngày hôm qua, nhưng đã giảm 1 triệu đồng/lượng so với sáng cùng ngày, khiến người mua lỗ nặng 4-5 triệu đồng/lượng.
2 tuần trước
Giá vàng, bạc giảm mạnh sau ngày Vía Thần tài
Sau ngày Vía Thần tài, giá vàng trong nước giảm mạnh về 184 triệu đồng/lượng, bạc cũng giảm sâu 4 triệu đồng/kg, dù nhu cầu mua cao.
3 tuần trước
Về Bắc Ninh mặc áo tứ thân, hát Quan họ dịp đầu xuân
Những ngày đầu xuân, du khách khắp các tỉnh thành đổ về Bắc Ninh trẩy hội, mặc áo tứ thân, tập hát Quan họ, hòa mình vào không gian văn hóa Kinh Bắc đậm đà bản sắc.
3 tuần trước
Clip: 'Hố tử thần' nuốt chửng 2 ô tô dừng đèn đỏ
Camera giám sát ghi lại cảnh một chiếc SUV và một xe bán tải đang chờ đèn đỏ thì bất ngờ rơi xuống một hố sâu do mặt đường sụt xuống. May mắn là những người trong hai xe này đều có thể thoát ra ngoài và không bị thương. Vụ tai nạn xảy ra tại Mỹ.
3 tuần trước
Người dân mua vàng, cổ phiếu... ngày vía Thần tài
Không chỉ mua vàng, trong ngày vía Thần tài (mùng 10 tháng giêng) năm nay, nhiều người chọn mua cổ phiếu, gửi tiết kiệm để lấy may.
3 tuần trước
Ba sai lầm khi bổ sung nước có thể hại thận
Không uống đủ nước hoặc quá mức, ưu tiên đồ uống nhiều đường, caffeine hơn nước lọc có thể khiến thận quá tải và suy giảm chức năng theo thời gian. - VnExpress
3 tuần trước